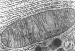
I was so excited to visit the Mitochondria power plant to see what the city did for power! The outside of the building is smooth and peanut shaped, but the inner part has many hallways that almost seem to be folded. The power plant gives power and energy to Cell by breaking down a fuel called glucose. The power plant also has another process called Cellular Respiration, which releases oxygen for other countries.

Mitochondria Power Plant

This is a diagram of the building.
No comments:
Post a Comment